牙齿冷光美白哪家好
- 时间:2015-11-07
- QQ咨询
- |
- 医师答疑
拥有一口洁白、靓丽、无瑕的牙齿能让您笑容更加的自信,笑口常开,为您的美丽加分。而如果您的牙齿变黄或者变黑则会让您失去自信,严重的会影响您的外在形象,很多爱美人士通过想通过牙齿冷光美白让自己牙齿变得洁白靓丽无瑕,那上海牙齿冷光美白哪家好呢?我们来听听上海美莱医疗美容口腔医师的介绍!
什么是冷光美白
冷光美白是一项正流行于欧美的较新牙齿美白技术,它不仅可以去除牙齿表面的色素沉积,同时可进入牙齿深层达到脱色的明显高效。冷光美白的原理在于通过冷光将药物渗透到牙齿组织中去,美白明显高效可以提高5-14个色阶,有快速,安心,持续时间长,明显高效显著等优点。
美莱冷光美白优势
安心有效,无后顾之忧
冷光美白牙的治疗过程中不会产生热量,所使用的亲水性美白剂有脱敏成份,所以整个过程无刺激感。
美牙护齿,双管齐下
冷光是一种低温冷激光,操作过程中有效避免了对牙齿神经的刺激。美白剂的主要成分是过氧化氢,是一种亲水性物,有效不伤害牙龈.
深层脱色,黄牙拜拜
冷光美白技术不仅可以去除牙齿表面的色素沉积,同时可进入牙齿深层达到脱色的明显高效。快速疗程治疗后能将牙齿表面提高5~14个VITA色阶,明显高效至少可维持两年以上。
极速美白,瞬间变美
冷光美白疗程仅需30分钟。推荐阅读:牙齿冷光美白后的注意事项
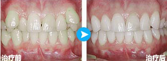
经典案例

医师优势

管忠敏 上海美莱负责人口腔权威医师
管忠敏,30年口腔临床诊疗经验,师从Dr.SaschaJovanovrc种植医生,100余篇学术论文发表于国内核心期刊,精湛技艺享誉行业内外,多次赴美日韩等口腔种植研发交流会并开展讲座,掌握的口腔种植技术及正畸技术。
如果您还有任何疑问,可以免费咨询我们的在线医师。我们是您专业的美容顾问,为您的美丽保驾护航。
- 上一篇:牙齿冷光美白注意事项有哪些
- 下一篇:牙齿冷光美白多少钱



